- Gender
- Female
Description
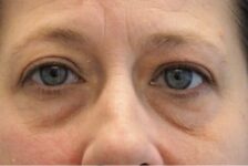
This patient has undergone Facial Fat Transfer of 30cc to Cheeks & Undereyes with liposuction from the front abdomen.
This patient has undergone Facial Fat Transfer of 30cc to Cheeks & Undereyes with liposuction from the front abdomen.